Ариг Ус
Live
Новости
Передачи
Проекты
Афиша
Зурхай
Карта событий
18+
Общество
Рубрики
Политика
Экономика
Образование
Бизнес
Происшествия
Авто
Здоровье
Культура
Общество
Город
Hi-Tech
Экология
Спорт
Народные новости
Коротко
Популярное
Прогноз от ламы на 2026 год для Петуха, Обезьяны и Овцы
21541
Порывы ветра и сильный снег прогнозируют в Бурятии
19921
Прогноз от ламы на 2026 год для Лошади, Змеи и Дракона
19354
Народные гуляния в честь Сагаалгана устроили в Улан-Удэ
18279
Прогноз от ламы на 2026 год для Кролика, Тигра и Быка
16443
Цырен Батоцыренов рассказал «Морозко» на бурятском языке
15534
Главный молебен, музыкальный подарок и розыгрыш бууз: встречайте Сагаалган с Ариг Ус
15360
Прогноз от ламы на 2026 год для Мыши, Свиньи и Собаки
14473
29 лет спустя: иркутянина подозревают в убийстве жителя Бурятии
13453
Ритуальные костры зажгли по всей Бурятии
12985
Седа Каспарова научит школьников Бурятии искусству публичной речи
11952
Сотрудницы банка спасли жителя Бурятии от потери миллиона
11619
На Байкале капитан «хивуса» сбил человека
10820
В районе Бурятии предотвратили потоп
10616
Зурхай на 22 февраля: для кого сегодня благоприятный день
9648
0:45
В России планируют запустить онлайн-сервис по ЖКХ на базе ИИ
Оплатить услуги и вызвать мастера можно будет в одном окне.
Общество
13 фев, 15:33
2713
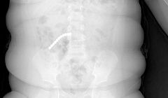
20 магнитных шариков проглотил двухлетний малыш в Улан-Удэ
Ребенку провели сложнейшую операцию.
Общество
13 фев, 15:20
2323
Законодатели предлагают сохранить пониженную ставку для «упрощенки» в Бурятии
Для налогоплательщиков, работающих на упрощенной системе налогообложения, будут применяться пониженные налоговые ставки, если их деятельность соответствует обозначенным в законодательстве критериям.
Общество
13 фев, 15:08
2228
3:09
В Бурятии подвели итоги 2025 года в социальной сфере
На чта обращали особое внимание, и какие планы ставят на этот год в министерстве соцзащиты?
Общество
13 фев, 14:44
2168
Как Т2 привлекает технических специалистов
Оператор запустил карьерный лендинг T2.Tech.
Общество
13 фев, 14:36
2366
Путин предложил частично или полностью погасить ипотеку семьям с четырьмя детьми за счет государства
Срок исполнения инициативы — до 1 июня 2026 года.
Общество
13 фев, 14:07
2801
Вопиющую историю о матери-наркоманке из Улан-Удэ рассказали на федеральном канале
Сестра женщины хочет лишить ее родительских прав.
Общество
13 фев, 13:14
5388
Дмитрий Медведев подчеркнул необходимость развивать российскую культуру и укреплять национальную идентичность
Эксперты и лидеры общественного мнения предлагают инициативы в новую народную программу «Единой России»
Общество
13 фев, 12:53
2740
ТГК-14 оштрафовали за просроченную поверку счетчиков в Улан-Удэ
Компания пыталась обжаловать наказание.
Общество
13 фев, 11:53
2541
0:34
Двух детей доставили в больницу после ДТП с фурой в Улан-Удэ
Авария произошла сегодня утром.
Общество
13 фев, 11:41
2546
Найти
Следите за нами
Telegram
TikTok
Youtube
ВКонтакте
Одноклассники
Twitter
RSS-лента
Телепрограмма
Ариг Ус
ТНТ Ариг Ус
06:05
Пришельцы среди нас (16+)
07:00
ДИАЛОГИЯ (12+)
07:20
Концерт А. Кураева "Не воюйте с русскими" (16+)
09:50
Гороскоп - 2026 (12+)
10:00
ВЕЛИКОЛЕПНАЯ ПЯТЁРКА - 2026. Игра третья ФМШ 56 - РЖД Лицей 10 (6+)
11:00
Гороскоп - 2026 (12+)
11:10
Х/ф "Истребители" (16+)
12:50
Гороскоп - 2026 (12+)
13:00
Т/с "Преступление-2" (16+)
16:30
Т/с "Наркомовский обоз" (6+)
20:00
ВЕЛИКОЛЕПНАЯ ПЯТЁРКА - 2026. Игра третья ФМШ 56 - РЖД Лицей 10 (6+)
21:00
Гороскоп - 2026 (12+)
21:10
Х/ф "Киношники" (16+)
22:45
Фильм " Светлячки" (12+)
23:00
Х/ф "Зимородок" (18+)
00:25
Пришельцы среди нас (16+)
01:20
Х/ф "Одинокая женщина желает познакомиться" (16+)
02:45
Концерт А. Кураева "Не воюйте с русскими" (16+)
05:20
Д/ф "Ступени Победы" (16+)
LIVE
Новости
Телеканал
Проекты
Афиша
Зурхай
Карта событий
Телепрограмма
Семейный контролер
Бегущая строка
О телекомпании
Академия «Ариг Ус»
Реклама
Вакансии
Политика конфиденциальности
Разработка сайта: Realist